Introduction
Hairy cell leukemia (HCL) is a rare indolent mature B-cells neoplasm that typically manifests with pancytopenia and splenomegaly. Nevertheless, significant splenomegaly, high hairy cells count in the blood, elevated β 2 microglobulin, and increased LDH can predict resistance to purine analogs. The absence of BRAF V600E mutation in HCL is rare and is associated with poorer outcomes.
Case Presentation
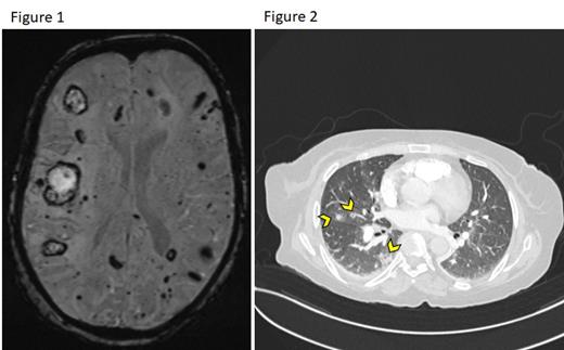
A 68-year-old female patient presented with symptomatic massive splenomegaly, leukocytosis (89,000 /microliter), monocytopenia, and thrombocytopenia. β 2microgobulin level was 4.4 mcg/L. Lactate dehydrogenase was 521 U/L. Peripheral blood and bone marrow examinations revealed typical hairy cells morphology, and the cells were positive for CD19, CD20, CD103, CD25, CD11c, CD200 (dim), and surface-Kappa. CD38 was negative. BRAF V600E result was wild-type. IGHV was mutated (IGHV3-49).
She received first-line therapy with a 5-day course of Cladribine (0.15 mg/kg/day) with initial resolution of leukocytosis, normalization of platelets, and a 50% reduction in spleen size. This was followed by consolidation with an 8-weekly course of Rituximab (375 mg/m 2). Soon after the 2 nd dose of Rituximab, leukocytosis recurred, and she was initiated on second-line therapy with Bendamustine (90 mg/m 2 on days 1 and 2) along with Rituximab (BR). She has not achieved any durable response following two cycles of BR. Unfortunately, she suffered a septic shock requiring admission to our intensive care unit. Upon routine mental status evaluation, brain MRI revealed innumerable supratentorial and infratentorial bilateral acute/subacute and old microhemorrhages (Figure 1). This prompted further evaluation of unexplained recurrent episodes of pulmonary hemorrhages while on mechanical ventilation that were found to be secondary to pulmonary end-arterial cavitating lesions suggestive of hairy cells infiltration (Figure 2 arrowheads). As she was clinically unstable, we attempted to control leukocytosis with corticosteroids, leukapheresis aggressively and started the patient on Ibrutinib, but she succumbed to her disease.
Discussion
Recently, the 5 th edition of the World Health Organization classification of hematolymphoid tumors highlighted the splenic B-cell lymphoma and leukemia family that encompasses hairy cell leukemia (HCL), splenic B-cell lymphoma/leukemia with prominent nucleoli (SBLPN), formerly known as hairy-cell leukemia variant, splenic diffuse red pulp small B-cell lymphoma (SDRPL) and splenic marginal zone lymphoma (SMZL). HCL is typically an indolent mature B-cell neoplasm with characteristic pathologic features that preferentially insinuate the bone marrow and the spleen causing impaired hematopoiesis and splenomegaly. Unlike other disorders within this group, HCL commonly harbors BRAF V600E somatic mutation in almost all cases. Rarely, patients with HCL can have extramedullary involvement by the malignant cells. Leukocytosis in HCL appears to increase the risk of developing extramedullary lesions that can present unique clinical challenges necessitating early and effective therapy. According to the literature, brain lesions in HCL were described in three other cases, and leukocytosis was a common denominator. Our patient with significant leukocytosis had brainand pulmonary lesions, and the latter was the cause of her demise due tounusually aggressive and refractory disease. Therefore, we hypothesize that leukocytosis in HCL can be “the tip of the iceberg”. The higher the leukocytosis, the higher the burden of extramedullary disease, as in our case, who had simultaneous lesions in the brain and lungs. Patients with HCL and leukocytosis may warrant initial diagnostic evaluation to ensure the absence of potentially sinister lesions, which can inform subsequent monitoring and management plans. Additionally, more novel therapies could be considered sooner in the treatment course to control the disease and these lesions. Finally, our patient did not harbor BRAF V600E mutation, which likely resulted in further worse outcomes and limited the usage of targeted therapies like BRAF inhibitors.
Disclosures
No relevant conflicts of interest to declare.

This feature is available to Subscribers Only
Sign In or Create an Account Close Modal